歯科担当獣医師の森田です!
今回のブログでは全身麻酔下での歯石除去の時期ついて解説していきます。
このブログを参考にお家のワンちゃん猫ちゃんの歯についてぜひ理解を深めていただければと思います。
歯周病が進行すると
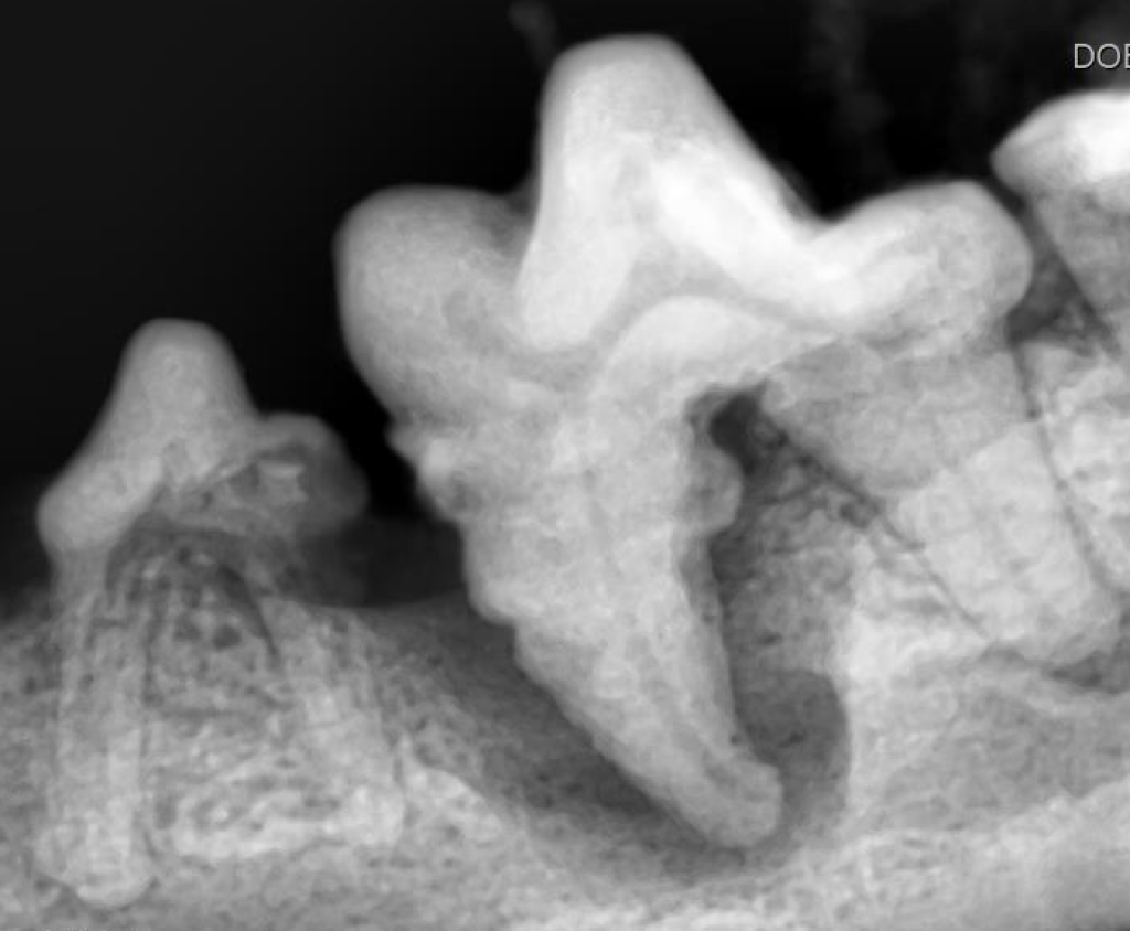
下の写真を見てみましょう。

下顎の第一後臼歯に歯石が沈着し、歯肉が後退しているのが分かります。
沈着している歯石を除去すると、歯根が見えるほど歯槽骨が融解していることが分かりました。

歯科レントゲンを撮ってみると歯を支える歯槽骨が重度に融解しており、重度歯周病と診断しました。

そのため、この歯は抜歯をせざるを得ない状況でしたが、抜歯処置も非常に困難な処置となりました。
この症例はあまりにも歯槽骨の融解がひどく、抜歯時に下顎骨を骨折してしまうリスクがありました。
また、この大臼歯の真下には太い血管が走行しているため、歯を抜く際に血管を傷つけると大出血してしまうリスクもあります。
幸いこの症例は骨折も大きな出血もなく無事に抜歯処置を終えましたが、歯周病を放置すると歯を抜かなければいけないだけでなく処置自体のリスクも高くなってしまいます。
まとめ
このように、歯周病の治療は時間が経つほど進行し顎骨骨折や出血など、合併症のリスクが高くなってしまいます。
お口のトラブルでお悩みでも麻酔に対して不安があるという方はぜひ当院の歯科をご受診ください。
神宮プライス動物病院の予約はコチラ⬇︎
03-3403-8012(歯科診療担当 森田まで)