歯科担当獣医師の森田です!
動物の健康を末長く守るために、抜くべき歯と温存する歯の選別は非常に難しいものがあります。
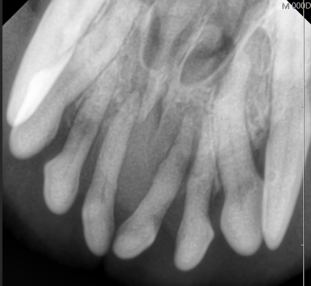
こちらの写真の症例は口臭が気になるという主訴で来院されました。

左右上顎の第一切歯の歯肉が後退しています。
全身麻酔下での精査を行い、歯科レントゲン検査にて歯槽骨の融解が認められ、重度歯周病と診断しました。

小型犬の切歯は温存することが非常に難しく、この子は抜歯処置となりました。
小型犬に多い切歯の歯周病
体の小さい子では、歯の大きさに対して顎が相対的に小さく、歯と歯の間が狭くなります。
歯と歯の間が異常に狭いと次のような病態が起きやすくなってしまいます。
- 叢生(そうせい)
歯が顎のスペースに収まりきらず、歯が重なり合ったり歪んで生える状態。 - 歯列狭窄
顎のサイズが小さく、歯が生えるスペースが不足している状態。 - 歯周病による歯の移動
歯周組織が破壊されることで歯が動き、歯間が狭くなったり広がったりすることがあります。
このような状態は、見た目や機能的な問題だけでなく、歯周病のリスクを高める可能性があるため、早期の歯科検診と治療が推奨されます。
まとめ
当院での治療は飼い主様のご意向とワンちゃん/猫ちゃんの特性を鑑みて選択しています。
歯を抜くという治療ももちろん選択肢の一つではありますが、他にも治療の選択ができるよう日々歯科診療の技術を磨いていきたいと思います。
歯周病治療は、介入が早いほど処置は軽度で終えることができます。
歯石がついてしまった際は、当院へご相談ください。
神宮プライス動物病院の予約はコチラ⬇︎
03-3403-8012(歯科診療担当 森田まで)