歯科担当獣医師の森田です!
動物の健康を末長く守るために、抜くべき歯と温存する歯の選別は非常に難しいものがあります。
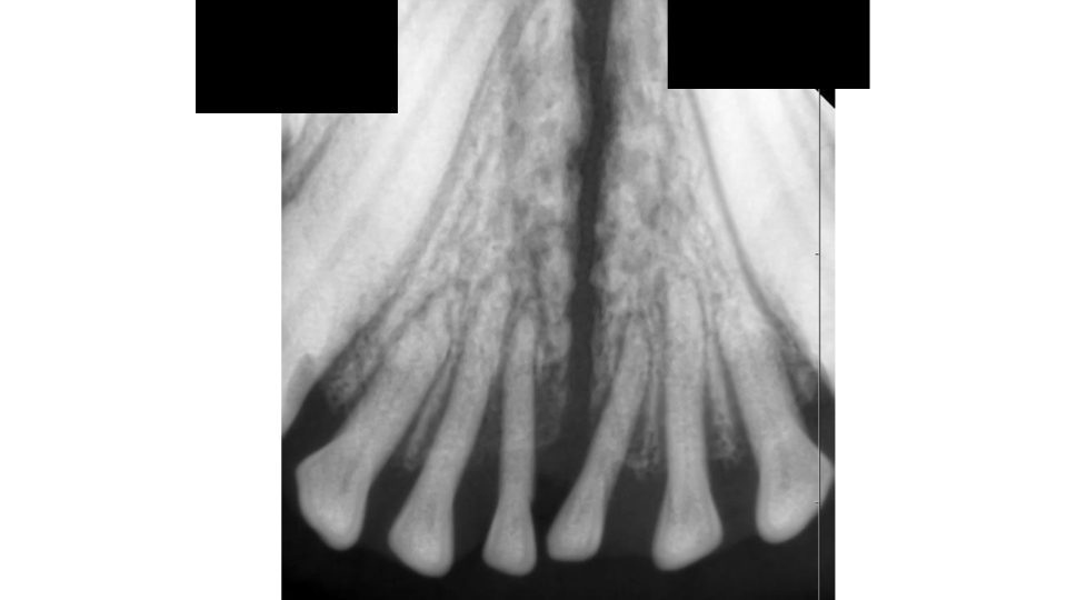
こちらの写真の症例の子は健康診断でいらした際に下の歯がグラグラしているのを発見しました。

肉眼的にも歯肉が後退しているのが分かります。
歯科用レントゲンでは歯を支える歯槽骨が歯周病によって退行していることが確認できました。

この時点で、切歯を抜いてしまう治療方法も適応になるのですが、「歯をなるべく残してあげたい」という飼い主様のご希望と、
歯ブラシを受け入れてくれる性格の子でしたので、歯周外科治療と歯周組織再生治療を組み合わせて歯を温存する方針を取りました。
歯周外科治療
まず、超音波スケーラーを使って慎重に歯石を除去した後、歯周ポケットを切開し歯根に付着した小さな歯垢や歯石をルートプレーニングによって取り除きます。
そして、本来歯根が付着する歯肉の内側、歯周病の進行とともに上皮化してしまった部分をキュレッタージによって除去します。
組織がしっかり出血することを確認し、人工骨と自己血から作成したフィブリンゲルを混合したものを骨の欠損部位に充填し
切開した歯肉を縫合していきます。
最初の写真に比べると切歯の背が高くなったように見えますが、これは後退した歯槽骨に合わせて切開した歯肉を縫合しているためです。
切歯同士の隙間が開くことで新たな歯垢の付着を最小限に、かつ歯ブラシや歯間ブラシで磨きやすくしています。
まとめ
当院での治療は人の歯科医院で行われている治療技術と科学的な根拠、そして飼い主様のご意向とワンちゃん/猫ちゃんの特性を鑑みて選択しています。
この子は術後2ヶ月で飼い主様の協力もあり歯間ブラシでしっかりデンタルケアができているため、結果的に歯を温存して非常に良かったと思っています。

歯を抜くという治療ももちろん選択肢の一つではありますが、他にも治療の選択ができるよう日々歯科診療の技術を磨いていきたいと思います。
歯周病治療は、介入が早いほど処置は軽度で終えることができます。
歯石がついてしまった際は、当院へご相談ください。
神宮プライス動物病院の予約はコチラ⬇︎
03-3403-8012(歯科診療担当 森田まで)