こんにちは。神宮プライズ動物病院の馬場です。
今回は、犬の「皮膚型リンパ腫」、特に「上皮向性リンパ腫」についてお話しします。
この疾患は非常にまれですが、皮膚科の病気の中ではめずらしく亡くなるリスクのある疾患です。
皮膚型リンパ腫の概要
犬の皮膚型リンパ腫は、皮膚にリンパ球が異常に集まって腫瘍化したものです。
通常、病変は皮膚に限局しますが、目周囲や鼻鏡部、口唇、陰部など粘膜との境界部の皮膚にも症状が現れる事が多いです。
無治療の場合、平均生存期間は数か月と短く、早期診断・治療が重要です。
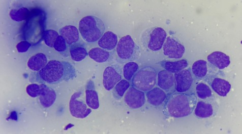
症状と診断のポイント
皮膚症状は多岐にわたり、紅斑(赤み)や過剰な鱗屑(フケ)、腫瘤(しこり)、色素脱失(白抜け)などが認められます。また、痒みを伴うこともあり、感染症やアレルギー性皮膚炎などの他の皮膚疾患と誤診されやすいです。
診断には細胞診や生検が必要になります。迷わしい場合は、局所麻酔にてさっと皮膚生検するのが重要です。



治療法
皮膚型リンパ腫の治療法は、症状や進行状況に応じて選択されます。
一般的には、ステロイドや抗がん剤の投与が行われますが、患者の状態や副作用を考慮しながら進めることが必要です。
当院での対応
当院では、適切な診断をもとに、個々の症例に合わせた治療計画を提供しています。
皮膚型リンパ腫の治療は他の腫瘍と同じ様にがん細胞を叩ききるような治療も重要ですが、いかに元気な状態で長く過ごさせてあげられるかも大事な要素です。
皮膚型リンパ腫についてのご相談や診察をご希望の方は、ぜひ当院にご連絡ください。
東京動物皮膚科センター/神宮プライス動物病院の予約はコチラ⬇︎
03-3403-8012