歯科担当獣医師の森田です!
今回のブログでは全身麻酔下での歯石除去の時期ついて解説していきます。
このブログを参考にお家のワンちゃん猫ちゃんの歯についてぜひ理解を深めていただければと思います。
歯周病が進行すると
下の写真を見てみましょう。

全体的に歯垢や歯石が沈着し、歯肉が後退しているのが分かります。
特に、下顎犬歯に沈着している歯石を除去すると、歯根が見えるほど歯槽骨が融解していることが分かりました。
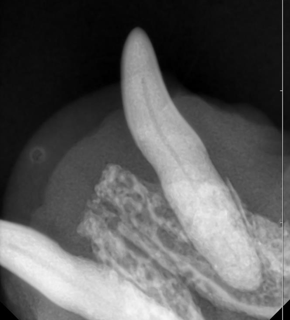
歯科レントゲンを撮ってみると歯を支える歯槽骨が融解しており、中程度歯周病と診断しました。

この歯は抜歯も適応になりますが、ある理由から歯を温存する治療を選択しました。
歯科レントゲン写真を見て分かるように、小型犬の下顎犬歯の歯根部は下顎骨に対して大きな割合を占めています。
そのため、抜歯処置自体によって骨折してしまうリスクや、抜歯後に抜歯窩を中心とした骨融解が起こることで骨折してしまうリスクがあります。
下顎骨の骨折は摂食など動物のQOLに大きく関わることが予測されますので、拡大鏡で歯根部を肉眼的に確認しながら超音波スケーラーで歯石を除去し、ダウンエピテーションを起こした歯肉を除去し温存しました。
まとめ
このように、歯周病の治療は時間が経つほど進行し顎骨骨折や出血など、合併症のリスクが高くなってしまいます。
お口のトラブルでお悩みでも麻酔に対して不安があるという方はぜひ当院の歯科をご受診ください。
東京動物皮膚科センターの予約はコチラ⬇︎
03-3403-8012(歯科診療担当 森田まで)