【歯科】歯が少ない?小型犬に多い歯列異常について①

歯科担当の森田です!
愛犬のお口を見た時に、「歯が少ない」と感じたことはありませんか?
口を開けてみると、歯が生えるはずの場所に歯がない…
今回は歯列異常の一種、未萌出歯について解説していきます。

未萌出歯とは

未萌出歯とは、歯の成長過程で何らかの理由により、口腔内に出てこない状態を指します。
埋伏歯と違って、歯は骨や歯肉に埋もれているわけではありませんが、萌出(歯が生えきること)が正常に行われていない状況です。
簡単に言えば、「生えてくるはずなのに、まだ出てきていない歯」のことです。

次の写真を見てみましょう。
この症例は歯磨き教室先生から歯が少ないことの指摘を受けて受診されました。

この子は3歳になる成犬ですが、上顎の第一から第三前臼歯と下顎の第一、第二、第四前臼歯が萌出していません。
正しい歯列は下の写真をご参照ください。

未萌出歯の原因

未萌出歯の原因はさまざまです。

  1. 遺伝的要因
    一部の犬種(特に小型犬や短頭種)は、歯の萌出が遅れたり、止まったりする傾向があります。
  2. 発育不全
    歯胚(歯の元となる組織)が完全に形成されていない場合、歯が育たないことがあります。
  3. 顎のスペース不足
    他の歯が占めるスペースが多すぎて、新しい歯が生えてこれないケースもあります。
  4. 外傷や感染症
    子犬の成長期に起きた外傷や炎症が、歯の発育に影響することがあります。

未萌出歯がもたらす影響

未萌出歯を放置すると次のようなリスクが生じることもあります。

  • 嚢胞(のうほう)の形成
    未萌出歯の周囲に嚢胞ができ、周囲の組織を圧迫することがあります。
  • 隣接する歯への影響
    生えてくるスペースがないまま埋まっていると、隣の歯を押して歯列が乱れることがあります。
  • 口腔内の感染
    歯周病のリスクが高まる可能性が示唆されています。

この症例は上記のリスクを精査するために、鎮静麻酔下での精密検査を行いました。

診断・治療

未萌出歯が疑われる場合、動物病院での診察が必要です。
歯科用のレントゲンやCT撮影によって、歯の位置や状態を詳しく確認できます。
治療法としては、以下の選択肢があります

  • 経過観察
    症状がなく、特に問題がなければ、定期的な検診を受けつつ経過を見守ることが一般的です。
  • 歯肉切開
    埋まっている歯肉を切開し、歯を萌出させます。
  • 抜歯や外科処置
    感染や嚢胞などの問題がある場合は、未萌出歯を外科的に取り除くことが勧められます。
  • 矯正治療
    必要に応じて、歯が生えてくるよう矯正器具を使うケースもあります。

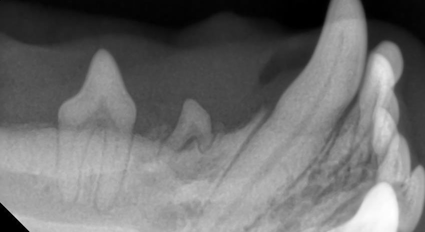
右側も同様の歯列異常がありましたが、歯科レントゲンを撮影したところ右下顎第二前臼歯の未萌出と診断しました。

未萌出歯の予防はできる?

未萌出歯そのものを完全に予防するのは難しいですが、以下のようなケアで併発疾患のリスクを軽減することができます:

  1. 子犬期の定期検診
    歯の生え方や顎の発育状態を獣医師にチェックしてもらいましょう。
  2. バランスの取れた栄養
    成長期の健康的な食事が、歯の発育にも影響を与えます。
  3. 日々の口腔ケア
    歯磨きを習慣づけて、歯肉や周囲組織を健康に保ちましょう。

まとめ

未萌出歯は必ずしも緊急の問題ではありませんが、放置していると長期的にトラブルの原因になる可能性があります。
愛犬の歯がどう育っているのか、定期的に観察し、気になる点があれば動物病院で相談してみてください。

東京動物皮膚科センターの予約はコチラ⬇︎
03-3403-8012(歯科診療担当 森田まで)