歯科担当獣医師の森田です!
以前のブログで解説した猫の虫歯ですが、治療方法にはいくつかのパターンがあります。
このブログを参考にお家の猫ちゃんの歯についてぜひ理解を深めていただければと思います。
関連ブログ「猫の虫歯のお話」
猫の虫歯の治し方
下の写真を見てみましょう。

左下顎の犬歯に特徴的な赤桃色の肉芽組織が被さっています。
この所見に飼い主様が気付き、虫歯を疑い歯科を受診されました。
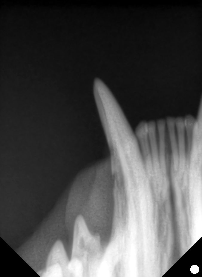
歯科用レントゲンで確認すると、歯冠の吸収が起きており、破歯細胞性吸収病巣と診断しました。


隣の健康な歯と比べると分かるように虫食い状に歯が溶けてしまっています。
猫の虫歯には5つの進行ステージがあります。
Stage1:エナメル質とセメント質の軽度吸収
Stage2:象牙質の吸収、歯髄には達していない
Stage3:歯髄に達する吸収
Stage4:歯髄を含む広範囲の吸収、歯の大部分が喪失
・a:歯冠と歯根が同程度の吸収
・b:歯冠>歯根の吸収
・C:歯根>歯冠の吸収
Stage5:歯冠の消失
この症例の歯はStage2の吸収像が見られました。
また、歯根の状態によって3つのタイプ分類があり、治療方法が異なります。
Type1:吸収像が歯冠と歯頸部に限局し歯根には異常がない ▶ 歯冠修復、抜歯適応
Type2:歯冠が周囲の骨に置換され、歯根膜腔が狭小もしくは消失 ▶ 歯冠切除
Type3:1つの歯にType1とType2が混在 ▶ 抜歯および歯冠切除
この症例は写真左側の歯根はType1の治療を選択しました。
また、全身麻酔下での検査・処置になりましたので超音波スケーラーを用いた歯石除去も同時に行いました。

まとめ
猫の虫歯もただ歯を抜けばいいというわけではなく、歯科用レントゲンで適切な診断をした上で治療方針を定めることが大切です。
特徴的なピンクのお肉がかぶさった歯をみつけたら、当院へご相談ください。
神宮プライス動物病院の予約はコチラ⬇︎
診療予約サイトへ