歯科担当獣医師の森田です!
以前紹介したブログ「歯周外科治療とは」を解説しました。
今回はそんな歯周外科治療及び歯周組織再生治療を行なった症例を報告させて頂きます。
歯周組織再生治療
下の写真を見てみましょう。
これはプロービングと言って歯周ポケットの深さを測る検査です。
肉眼的に歯肉はそこまで後退していないのですが、歯周ポケットは深くなっています。
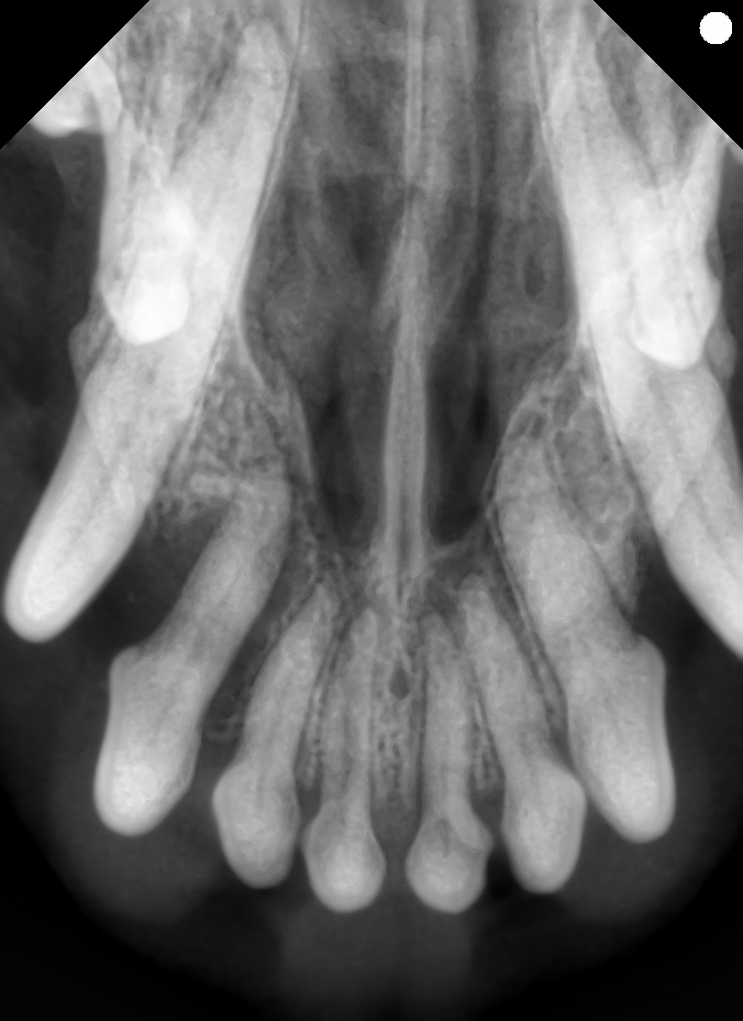
歯科レントゲンでも歯槽骨の骨融解を認め、右上顎第三切歯の重度歯周病と診断しました。



意識がある状態では見えないような場所も、麻酔下でしっかり精査することが重要です。
切歯の歯周病は小型犬で非常に多く(詳しくは過去のコラム「小型犬に多い切歯の歯周病」をご参照ください。)、通常歯周組織再生治療の反応は良くないとされています。
しかしながら、肉眼的に三壁性、垂直性の骨欠損があり歯周組織再生剤が適応となる点、飼い主様の歯の温存に対する強いご希望、そして術後のデンタルケアが可能という点において、本治療が適応と判断しました。
改変型低侵襲非外科的歯周病治療法
改変型低侵襲非外科的歯周病治療法 (M-MINST)とは、視野を3~4倍に拡大するルーペを使用し、 専用の超音波スケーラーで歯周ポケット底部まで徹底的な根面清掃を行う治療法です。歯肉の切開なども行うため局所麻酔も併用します。


歯周組織再生剤『リグロス®』
当院では上記のM-MINSTにリグロスⓇ歯科用液キットを併用します。
リグロスⓇは遺伝子組換え技術により大腸菌を用いて製造したヒト塩基性線維芽細胞増殖因子(basic fibroblast growth factor(bFGF)、一般名:トラフェルミン(遺伝子組換え))を有効成分とする世界初の歯周組織再生剤で、歯周病によって破壊された歯槽骨を再生する効果が期待されます。犬においてもその効果は報告されています。本症例は適応の基準を満たしていました。


骨欠損部位にリグロスを充填し、切開した歯肉を縫合します。縫合は数ヶ月で吸収される糸で行っているため抜糸の必要はありません。
下の写真は処置時の歯槽骨と術後1.5ヶ月の歯科レントゲン写真です。
上顎切歯の吻側の歯槽骨が再生している所見が認められます。また、尾側の骨欠損部位も骨増生が認められ、
歯周ポケットの深さも6mmから3mmに改善し、診断は重度歯周病(AL81%)から軽度歯周病(AL22%)まで改善しました。

まとめ
歯周組織再生治療の予後は、手技だけでなくその後のデンタルケアにも大きく左右されます。
歯周病の進行具合やお家でどこまでデンタルケアができるかなど総合的な判断をもとに治療を選択する必要がありますが、歯を温存したいという方に提示できる新しい治療です。
東京動物皮膚科センターの予約はコチラ⬇︎
03-3403-8012(歯科診療担当 森田まで)