歯科担当獣医師の森田です!
今回のブログではあまり知られていない犬のエナメル質欠損について解説していきます。
エナメル質欠損とは

犬のエナメル質欠損(エナメル質形成不全/エナメル質低形成)は、歯の表面にあるエナメル質が正常に形成されない、または損傷を受けた状態を指します。
自覚症状はほぼないとされていますが、人では虫歯のリスクや知覚過敏につながると言われています。
原因
1. 遺伝的要因
一部の犬種(例: シベリアンハスキー、スタッフォードシャー・ブル・テリア)は遺伝的にエナメル質欠損のリスクが高いとされています。
2. 全身性疾患や栄養不足
幼少期の重篤な病気(ジステンパーウイルス感染など)や栄養不良が原因になることがあります。
3. 外傷
乳歯や永久歯が成長する間に受けた外傷が、エナメル質の形成を阻害することがあります。
4. 薬剤の影響
テトラサイクリン系抗生物質の使用により、歯の形成異常が起きる場合があります。
症状
エナメル質欠損になると次のような症状が出ることがあります。
• 歯の表面が粗く、欠けている
• 歯の色が異常(茶色や黄色の変色)
• 歯が脆く、欠けやすい
• 歯垢や歯石の蓄積
• 感染や痛み
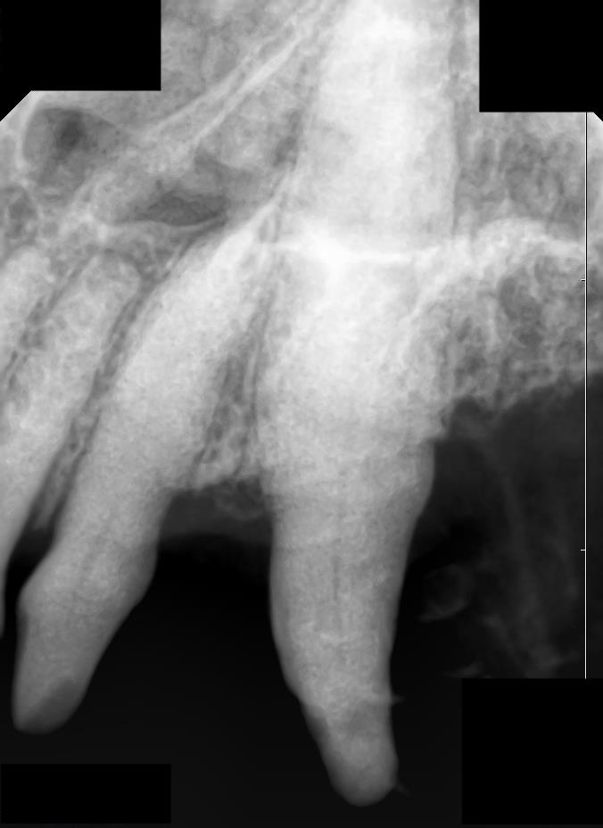
診断
肉眼的に歯の表面の異常を確認します。
疑わしい場合は歯科レントゲンにてエナメル質の損傷程度を評価します。

治療

1. 予防的ケア
歯磨きや適切な歯科ケアで、二次的な感染や損傷を防ぐ。
2. レジンやクラウンの使用
重大な欠損部位には樹脂(レジン)やクラウンで保護することが可能です。
3. 抜歯
重度の欠損や感染がある場合、抜歯が必要になることもあります。
まとめ
エナメル質欠損は完全に治癒することは難しいですが、早期の診断と適切な治療で症状の進行を抑え、犬の生活の質を向上させることが可能です。
神宮プライス動物病院の予約はコチラ⬇︎
03-3403-8012(歯科診療担当 森田まで)